- Uygulamalar Android
- Oyunlar üzerinde Android
- Simülatörler
- Full Code Medical Simulation
Full Code Medical Simulation

İşletim Sistemi
Android
Kategori
Simülatörler
Geliştirici
Dil
İngilizce
Güncelleme tarihi
27 December 2023
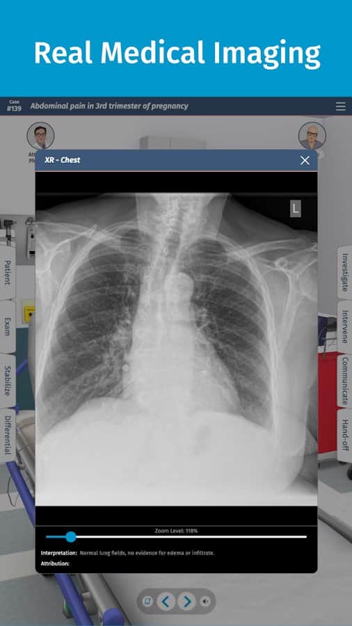
Tam Kod, tıp öğrencilerinin ve profesyonellerin ihtiyaçlarını göz önünde bulundurarak tıp uzmanları tarafından oluşturulmuş yenilikçi bir mobil uygulamadır. Ödüllü bu uygulama, tıbbi vakaları simüle etmek için sezgisel bir arayüz sunmaktadır. 170'den fazla gerçekçi sanal vaka ve ilgi çekici oyun süreci, onu dünya genelindeki sağlık çalışanları için tercih edilen bir seçenek haline getiriyor.
Uygulama değerlendirmesi
Editör değerlendirmesi
6 kullanıcı değerlendirmesi
7.3
Gereksinimler ile v3.2
- İşletim Sistemi Sürümü: Android 7.0+
- İnternet: Gerekli değil
- Boş alan gereksinimi: 60 Mb
İndir oyunFull Code Medical Simulation
v3.2 Orijinal
Tavsiye Edilen:
Favorilere ekleGüncellemeleri abone olGüncelleme
isteği
isteği

















![[forgotten] How much is your life worth](https://pdalife.tr/photo/th_maxresdefault-1-_13.jpg)







Yorumlar ile Full Code Medical Simulation üzerinde Android
Yorum bırakmak için,
lütfen giriş yapın.